View Our Dental Smile Gallery – Bedford, TX
See What Your Smile Can Become
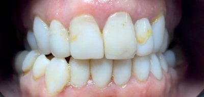
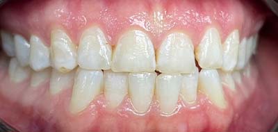
Our dentists stand behind their work, whether they are providing restorative dentistry that repairs teeth damaged by decay or cosmetic dentistry that enhances their appearance. We understand if you want to see what your smile could look like before treatment, which is why we’re honored that so many patients have graciously provided their smiles to our very own smile gallery. Please take a moment to view them below and learn how your smile can be completely transformed!







